Smiling woman

Veneers

Are you self-conscious about your smile due to cracks, chips, or other cosmetic imperfections? Veneers conceal these issues to give your teeth a straighter, whiter, and more symmetrical appearance.  Learn how the dentists at Gooch Family Dental in Birmingham, AL, can refine your smile with custom veneers in just one visit.

Take a Closer Look At How Porcelain Veneers Are Placed

A thin amount of enamel is removed from the tooth before the porcelain shell is placed. Veneers are designed to be a natural-looking solution to cosmetic imperfections, quickly improving the appearance of your smile.

Why Visit Gooch Family Dental? 4 Ways Our Team Keeps You at Ease

​It's completely normal to feel nervous about your dental care, even if you're undergoing one of our simpler cosmetic dental treatments, like veneers. We strive to create a calm and welcoming environment, offering features like:

A Comfort Menu

You can sit back and relax thanks to our comfort menu. We offer spa-like options including complimentary beverages, heated massage chairs, and soothing warm towels.

Dental Financing

You don't have to stress about paying for your treatment. We accept CareCredit® financing, which allows you to split the cost of your care into affordable monthly installments.

Caring Attitudes

Our team has a giving and compassionate spirit, which reflects in the care we provide to you. You can trust us to keep you reassured and informed every step of the way.

Advanced Technology

We invest in advanced dental technology, like 3D imaging, intraoral cameras, and digital X-rays, so that you can have quicker and easier visits.

Let's Get to Work on Your New Smile Request a Consultation Today

At our Birmingham, AL, dentistry practice, we use state-of-the-art technology, such as CEREC®, to craft custom porcelain dental veneers and other restorations in as little as one visit—no need to wait weeks for your veneers. Your dentist will work closely with you to design and create veneers that give you the smile you've been dreaming of. Call us or contact us online to see if veneers are the right treatment for you.

(205) 991-9892

Office

What Birmingham Patients Say About Our Dental Practice

1

Alyssa Dudley

2022

Google logo

I had a lovely experience definitely will be recommending to my friends and family.

View on Google
1

Cici Stallworth

2022

Google logo

Best dental experience ever!! Everyone is friendly and they explain in detail what's going on.

View on Google

The Dental Veneer Treatment Timeline

You could be just one appointment away from a stunning new smile. We offer same-day veneers made with CEREC technology, as well as traditional veneers crafted by trained ceramists at a trusted dental lab.
You could be just one appointment away from a stunning new smile. We offer same-day veneers made with CEREC technology, as well as traditional veneers crafted by trained ceramists at a trusted dental lab.

Initial Consultation

During your initial consultation, one of our dentists will examine your teeth to determine if veneers are right for you. Your dentist will also discuss your options: CEREC-created veneers or lab-created porcelain veneers. Please, feel free to ask any questions you have.

Impressions

Your dentist will take impressions of your mouth to craft your veneers. Our Birmingham dental practice uses digital impressions, eliminating the need for messy putty impressions. Depending on which type of veneers you choose, your dentist will either use the impressions to create your veneers using our CEREC system or send the impressions to the lab to craft your porcelain veneers. 

Preparations

When your veneers are ready, your dentist will prepare by removing about 0.5 to 0.7 millimeters of enamel from each treated tooth. The amount varies by patient, and your dentist will only remove what is needed to allow your veneers to fit naturally and seamlessly with your other teeth and to prevent them from protruding.

Placement

Each veneer is then permanently bonded to the tooth, and your dentist will make any necessary adjustments to ensure proper fit, function, and comfort.

​Porcelain Veneers Can Truly Transform Your Smile

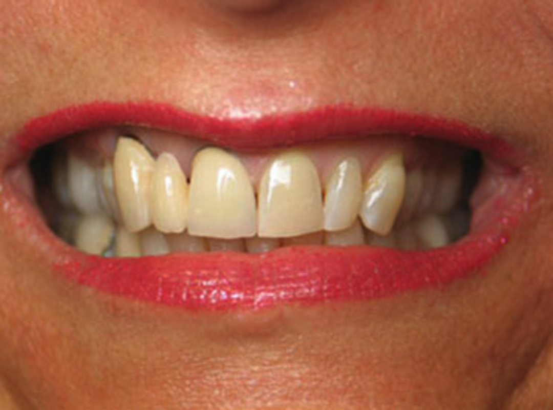
Before veneers
Before Porcelain Veneers
After veneers
After Porcelain Veneers
This patient visited our Birmingham office for veneers. We used lifelike porcelain to give them a brighter smile while still maintaining a realistic appearance for their teeth. The veneers also blend in easily with their gums, creating even more cohesive final results. If you want to explore your candidacy for this transformative treatment, contact our friendly team for a consultation.

Birmingham Visits Us For Patient-Centered Treatment

1

John Cook

2023

Google logo

Jesse was my dental assistant very easy to talk to answered all my questions and very professional. She is a great team member Everyone was friendly

View on Google
1

Becky Cruise

2023

Google logo

Everyone is especially nice!! They do so much to make the experience comfortable.

View on Google

Choose a Team That Builds a Partnership With You

When you visit our office, we're not just here to get you in and out. Our team prides themselves in forming long-lasting relationships with patients. That way, you don't just find dentists to place your veneers; instead, you find a Birmingham office that you can trust for all your dental needs.

We're a comprehensive practice, offering a wide range of treatment options. We can keep your smile looking healthy and beautiful for years to come, starting with gentle cleanings and exams. We also offer advanced restorative dentistry, allowing you to repair any issues with help from a team you already trust. That means automatic peace of mind, even in a stressful situation.

Our partnership with you begins with a simple cosmetic dentistry consultation. Contact our compassionate team or call:

(205) 991-9892

lobby
Patients come first at our Birmingham, AL, office. Whether you need restorative, general, or cosmetic dentistry, we aim to treat you with the utmost care and compassion.

We're Here to Help

New Patients Can Fill Out Their Forms Easily

Excited to start your cosmetic treatment? Fill out our online forms, and you're one step closer. Once your information has been entered, you can also use our patient portal whenever you please. It gives you immediate access to your payments, records, and even new appointment requests.

How Long Do Veneers Last?

Veneers typically last about 10 years before they need to be replaced, but with proper care, they can last much longer. Over time, veneers can wear down and become more susceptible to damage. Though they are considered a permanent solution, you will eventually need to have your veneers replaced. 

Financing Options Available

While we do accept most dental insurances, dental veneers are considered a cosmetic dentistry treatment and are not covered by most insurance providers. We do not want financial barriers to prevent patients from achieving the smiles of their dreams, so we proudly accept CareCredit financing to help make treatment more affordable. 

"This practice is far above the rest." More Reviews From Happy Birmingham Patients

1

Shelia Dearing

2022

Google logo

Dr Andrews is so awesome, he is just so gentle, kind and just an amazing person, I can’t say enough about him, words just can’t express how great he is, as a Dentist and a person! And Juanique is definitely unique, he was wonderful, kind and caring, he made sure that I was comfortable and treated me like a queen! And Courtney you are such a unique person too, such awesome treatment I received from you, felt like I was in a spa! Words can’t say enough about how I was treated and cared for. This is what going to a Dentist should feel like! If I could give you all a hundred stars I would! Thank you Dr. Andrews, Juanique, Courtney, Jennifer too, ya’ll are the best!

View on Google
1

Amy Solito

2021

Google logo

This practice is FAR ABOVE THE REST. They are so extremely considerate, thoughtful, excellent, and forward thinking. Every need seems to be taken care of. I’m highly appreciative at how extremely cared for by the whole staff I feel every time. Every year I ask to come in earlier than necessary because I just love it that much. Such a great experience in office and over the phone. Kindness goes a long way, but so does clean facility and top notch teams. Go! Try them out and tell them I sent you. For sure!!

View on Google
Gooch Family Dental

Gooch Family Dental

Gooch Family Dental is dedicated to providing convenient, comprehensive dentistry from our dental office in Birmingham, AL. We take advantage of the latest dental technology to streamline treatment, and deliver fast, beautiful results. Our proud affiliations include:

  • The American Dental Association
  • Academy of General Dentistry
  • Birmingham District Dental Society
  • The Alabama Dental Association

You can learn more about our services, and schedule an appointment today by filling out our online form, or by calling (205) 991-9892.

Send Us a Message Today

"I have never received such individual attention and care, from the moment I walked in the door through the entire cleaning and exam. A completely comfortable and satisfying experience. I look forward to having Dr. Gooch's team take care of my dental health for years to come." Amber L.

Rate, Review & Explore

Social Accounts Sprite